Инструменты для синус-лифтинга
Цены в разделе меняются.
Актуальные цены уточняйте у менеджера!
Закрытый синус-лифтинг
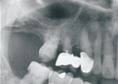
Обзорный снимок до лечения. Удлинение и наклон 15 и 16 зубов вследствии кариеса. Показана экстракция.
Рассверливание тонкой кортикальной кости дна верхнечелюстного синуса фрезой с ограничителем.
Отслаивание шнейдеровой мембраны от дна верхнечелюстного синуса кюретой грибок
Заполнение образовавшейся полости остеопластическим материалом
Остеопластический материал равномерно распределяется в полости костным уплотнителем
Установка имплантата
Качественные и удобные инструменты - залог успеха любой хирургической операции.
У нас вы можете приобрести наборы инструментов и отдельные инструменты для синус-лифтинга с гарантией качества и низкой цены:
- наборы кюрет и отдельные кюреты;
- костные уплотнители; ложки для внесения костного материала;
- костные шприцы диаметром 3.5, 4.5 и 5.5мм;
- алмазные и твердосплавные фрезы для открытого и закрытого синус-лифтинга
Вы недавно смотрели
